親知らずの抜歯

011-271-6480

24時間WEB予約

キービジュアル
「口腔外科専門医」が在籍

最短2.3分抜歯可能です

熟練の歯科医師が、
痛みを抑えつつ
短時間で抜歯します。

安心・安全な抜歯をめざして

「抜歯が怖い」「埋まっていると言われて心配」など、親知らずの痛みや不安について、患者さんからよく相談を受けます。

親知らずの抜歯は、その状態により難易度が大きく異なります。特に歯ぐきの中に埋まっている埋伏歯(まいふくし)の場合、通常よりも時間と技術が必要です。
当院では、経験豊富な歯科医師が痛みを最小限に抑え、安全で短時間の処置を心がけています。埋伏歯であっても治療時間はおよそ15分程度、縦向きに生えた通常の親知らずであれば2~3分で完了します。

親知らずのお悩みは、ぜひ私たちにご相談ください。

注目!最短2.3分で抜歯が可能です!

当院では、症例によっては親知らずの抜歯を最短2〜3分ほどで終えられる場合があります。

これは単に「早く終わらせる」という意味ではありません。事前の精密診断綿密なシミュレーション、そして口腔外科の専門医による的確な処置があってこそ実現できるものです。
抜歯は、必要以上に時間がかかると組織への負担が大きくなります。処置時間を短縮できることは、腫れや痛みの軽減にもつながりやすく、術後の回復にも良い影響を与えます。

もちろん、すべての症例が短時間で終わるわけではありません。横向きに埋伏しているケースや神経に近接している場合などは、慎重な対応が必要です。
しかし、適切な診断と技術力があれば、必要最小限の時間で安全に抜歯を行うことが可能です。
早い=高い技術力」。それが、当院が大切にしている外科治療の考え方です。

難症例の抜歯でも口腔外科医が対応

当院には口腔外科の専門医が在籍しており、神経に近い位置や深く埋まった親知らずの抜歯にも対応しています。難症例でも安心してご相談いただけます。

院長・歯科医師 中谷 宇一郎

院長・歯科医師 中谷 宇一郎

経歴

平成4年北海道医療大学 歯学部 卒業
平成4年札幌医科大学 医学部 口腔外科学講座 入局
平成13年特定医療法人 歯科口腔外科 医長
  • サティフィケイト
  • サティフィケイト
  • サティフィケイト
  • サティフィケイト
  • サティフィケイト
  • サティフィケイト
  • サティフィケイト
  • サティフィケイト
  • サティフィケイト
  • サティフィケイト
【著書】
『学校では教えてくれない歯のき・ほ・ん おしえてせごどん先生』
『人生の9割は歯で決まる! – 札幌・大通公園発健康も幸せも手に入る!』

親知らずは抜歯すべき? 残すべき?

親知らずを抜くかどうかの判断基準は、その生え方にあります
基本的には、まっすぐ生えていない親知らずは、他の歯に悪影響を及ぼしたり、磨きにくく虫歯になったりするため、抜歯が推奨されます。ただし、「真っ直ぐ生えていて噛み合わせが正常である」「完全に埋没している」といった場合には、抜かなくてもいいこともあります。

また、将来別の歯を抜く必要が生じた際には、親知らずを移植できる可能性もあります。親知らずの処置にはリスクも伴うため、当院では慎重な判断を心掛けており、無理な抜歯はおすすめしていません。

「親知らずを抜きたくない」「残しておいたほうがいいか迷っている」とお考えの患者さんは、ぜひ一度ご相談ください。当院はセカンドオピニオンにも対応しています。

親知らずを抜歯するメリット/デメリット

メリット

  • 虫歯・歯周病のリスクを下げる
  • 口臭を抑制できる

デメリット

  • 術後の痛みや腫れ
  • 舌や唇が麻痺するリスク(稀なケース)
術後の痛みや腫れは通常、1週間程度で和らぎます
一方で、抜歯をしないことで長期的な健康リスクが増すこともあります。まずは歯科医師としっかり相談し、ご自身に適した判断をしてください。

当院が実践する親知らず治療のアプローチ

親知らずの治療は、どの医院でも同じというわけではありません。当院では豊富な技術と経験をもとに、患者さんの負担を軽減し、術後のリスクを最小限に抑えるよう努めています。

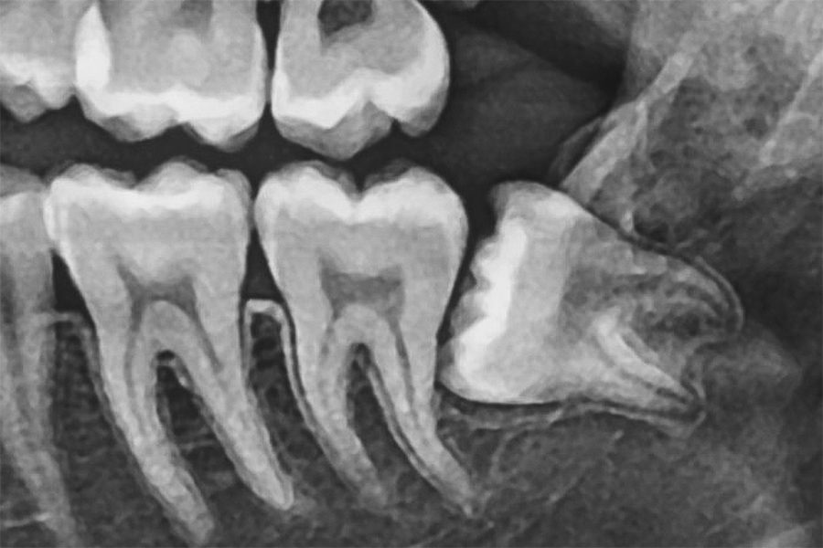
「水平埋伏歯」にも対応

水平埋伏歯」とは、横向きに生えている歯のことです。この歯は手前の歯を圧迫し、痛みや歯並びの乱れを引き起こす可能性があります。また、虫歯歯周病の原因にもなります。

このような歯は骨や神経に非常に近い位置にあるため、抜歯には高い技術が求められます。当院では、精密な診断と高度な技術により、難しい抜歯にも対応しています。他院で断られたケースでも、まずはご相談ください。

「伝達麻酔」の使用

麻酔には、浸潤麻酔伝達麻酔という2つのタイプがあります。
浸潤麻酔は、主に歯茎の一部分を麻痺させる方法で、一般的な虫歯治療によく使われています。しかし、神経が多く通っている下あごの親知らずのようなケースでは効果が限定的です。

一方で、伝達麻酔は痛みを伝える神経をブロックし、長時間にわたり効果を維持します。伝達麻酔を使用することで、治療中の痛みをほとんど感じずに済むため、多くの患者さんに安心して治療を受けていただけます。

「CT」による精密診断

親知らずは生え方によって、さまざまなケースがあります。血管や神経を傷つけるリスクの高い難症例では、事前に精密な診断が不可欠です。当院では、「CT」を使って正確にあごの骨の状態を分析します。

CTは、コンピューター処理で画像を立体的に映し出す特殊なレントゲン装置です。血管や神経だけでなく、歯の埋没位置も正確に割り出せるため、歯茎の切開を最小限にとどめることが可能です。

「パノラマレントゲン」の活用

パノラマレントゲンは、お口全体を1枚の画像で撮影できる広範囲のレントゲン写真です。これにより、親知らずの位置や向き、そして周囲の歯との関係がひと目でわかります。

特に下あごの親知らずは、大事な神経である下歯槽神経の近くにあることが多いです。そのため、抜歯による神経損傷のリスク評価が非常に重要となります。
パノラマ撮影を用いることで、神経との距離や重なり具合を事前に確認することができます。これにより、安全で的確な治療計画を立てる手助けとなります。

傷の治りを促す「テルプラグ」

テルプラグは、コラーゲンを主成分としたスポンジ状の素材です。
抜歯後の穴(抜歯窩)にやさしく詰めることで、傷の治癒をサポートします。この素材を入れることで、血液がしっかりと留まりやすくなり、自然な治癒を促進することが期待できます。また、抜歯後の痛みや出血を抑える効果もあります。

妊娠中の親知らず治療を避けるために

妊娠中はホルモンバランスの変化により、虫歯や歯周病が発生しやすくなることをご存知でしょうか? 特に親知らず周辺の歯茎が腫れて痛むケースが少なくありません。

しかし、妊娠中に親知らずを抜くのは難しい場合があります。
お腹の赤ちゃんへの影響を考慮し、レントゲン撮影、麻酔、内服薬などの使用に制約が出る可能性があるためです。そのため、妊娠してから困難な状況に直面する前に、妊娠前に親知らずの治療を済ませておくことをおすすめします。

親知らずに関するよくある質問

片方を抜いたら、もう片方も抜く必要がありますか?
親知らずを片方だけ抜いた場合、反対側も抜くべきかどうかは個々のケースによります。片方の親知らずに痛みが生じたとき、もう一方も同様に問題を抱えている可能性があります。
そのため、両方の親知らずを抜くか否かは、歯科医師と相談しながら決めることが大切です。
親知らずが原因で歯並びが悪くなることはありますか?
横や斜めに生えている場合は、歯並びに影響を及ぼす可能性があります。
どのような親知らずでも抜歯は可能ですか?
親知らずの抜歯については、当院では豊富な経験と実績がありますので、多くの症例に対応しています。しかし、糖尿病心臓病をお持ちの方、または血管や神経に影響を及ぼす可能性が高い場合は、安全面を考慮し、大学病院をご紹介することもございます。

初診「個別」相談へのご案内

当院では、患者さんが抱えていらっしゃるお口のお悩みや疑問・不安などにお応えする機会を設けております。どんなことでも構いませんので、私たちにお話ししていただけたらと思います。
ご興味がある方は下記からお問い合わせください。

ご予約・お問い合わせ011-271-6480

〒060-0061
北海道札幌市中央区南一条西8丁目20−1
ライオンズマンション大通公園小六ビル2F

【札幌市電】西8丁目駅徒歩1分
【地下鉄東西線】西11丁目駅徒歩3分
        大通駅徒歩7分