Doctor河合 大史Daishi Kawai
- 北海道大学歯学部 卒業
- 北海道大学 研修
- 北海道大学大学院
- 歯周歯内療法学教室 入局
011-271-6480
WEB予約
その治療が、人生を変える
口腔外科医学博士による精密治療
診療カレンダー

※画像クリックで拡大表示

Implant
当院のインプラント治療は20年以上、2,000本以上の
埋入実績があり、患者様から高く評価されています。
他院で断られた方もご相談ください。
All-on-4
片あごに4本のインプラントを埋め込み、固定式の歯を装着することで、オペ当日に見た目と噛む機能を回復させる治療法です。歯の本数分のインプラントは必要ないため、経済的、身体的負担も少なくすみます。


Zygoma
国内で対応できる医院が数%のザイゴマインプラントは、頬の骨にインプラントを埋め込むため、あごの骨が少なかったり、欠損しているなど、All-on-4では対応できないケースにも治療が可能です。
Conservation and Prosthetics
歯がボロボロの方の治療も当院にお任せください。まずはお口の状態を確認し、悪化の原因を丁寧に究明します。入れ歯でも、インプラントでも、患者様ごとに適切な治療法をご提案します。


北海道医療大学 歯学部卒
札幌医科大学医学部口腔外科学講座入局
口腔がんの遺伝子治療に関する基礎的研究に従事し、
医学博士号取得
特定医療法人歯科口腔外科医長





当院は全ての診療台にマイクロスコープを完備し、
CTやコンピューターガイドなど、精密機器を
駆使することで、より緻密で正確な治療を行います。
歯科恐怖症/痛みが苦手な方へ
睡眠無痛治療(静脈内鎮静法)は点滴で麻酔薬を入れ、ほぼ眠っている状態で治療を行う方法。気づいた時にはもう治療が終わっているため、恐怖心や、痛み、ストレスなく治療ができます。


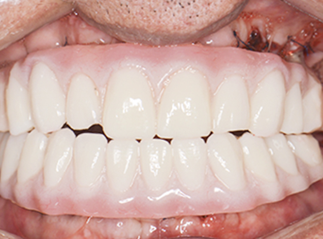
ここまで変わる「治療前」と「治療後」
※ 写真中央のスライダを左右にドラッグして画像を比較できます


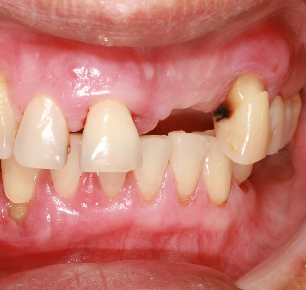
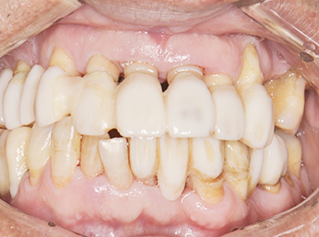
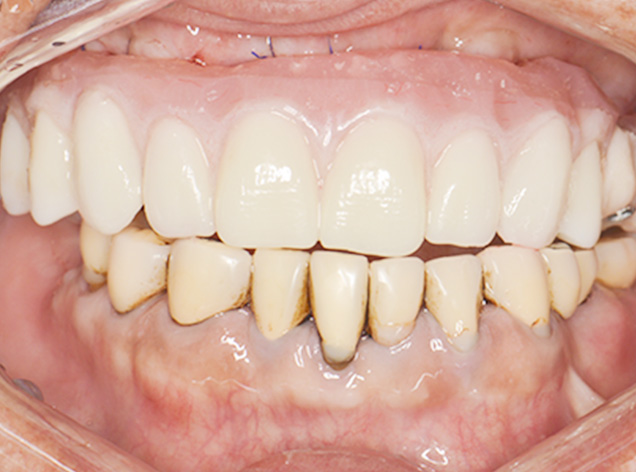
歯周病でグラグラな歯と合わなくなった被せなど全部抜歯してオールオン4とザイゴマにて治療。


咀嚼、審美障害。歯周病でグラグラな歯を全部抜歯してオールオン4で治療した症例。


合わない総入れ歯と歯周病がひどい部分を全部除去してオールオン4とザイゴマにて治療した症例。


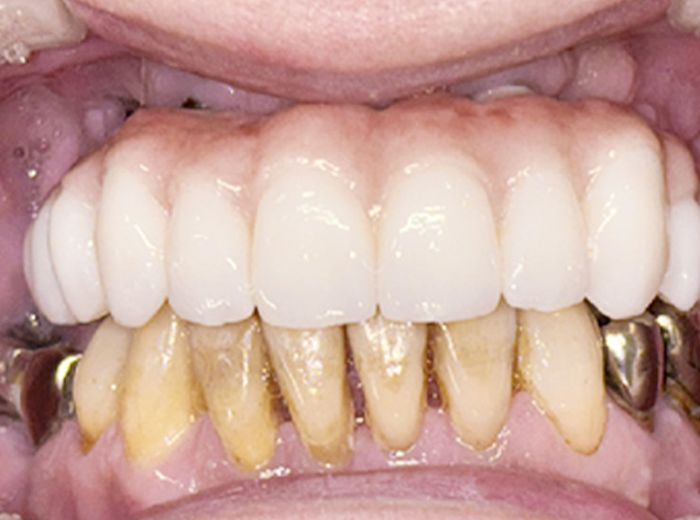
咀嚼、審美障害。歯周病でグラグラな歯を全部抜歯してオールオン4で治療した症例。


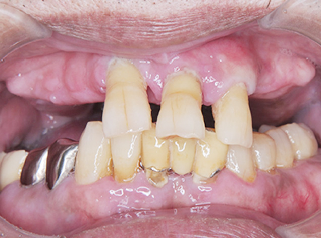
咀嚼、審美障害。歯周病でグラグラな歯を全部抜歯してオールオン4とザイゴマで治療した症例。


疼痛、審美障害。全体的に虫歯でボロボロな歯を全部抜歯してオールオン4で治療した症例。


クレジット、デンタルローンに対応。

デンタルローンは最大120回までの分割にも対応しています
CONSULTATION
まずは「お話し」から
歯のお悩みは一人ひとり異なり、
歯科医院によっては対応が難しいケースも
少なくありません。
当院では、複雑な症例から矯正治療まで
幅広く診療しております。
どんなお悩みでもまずはお気軽にご相談ください。
セカンドオピニオンにも対応しています。
