ボロボロの歯の治療

011-271-6480

24時間WEB予約

キービジュアル

虫歯歯周病
ボロボロでも
諦めない

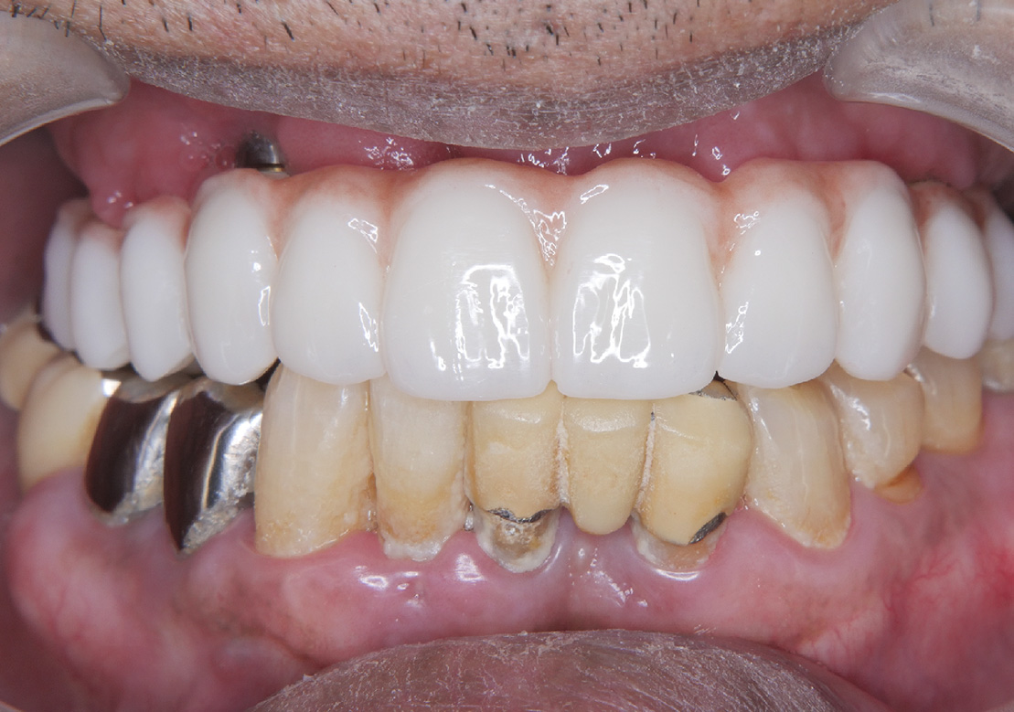
  • 治療前
  • 治療後
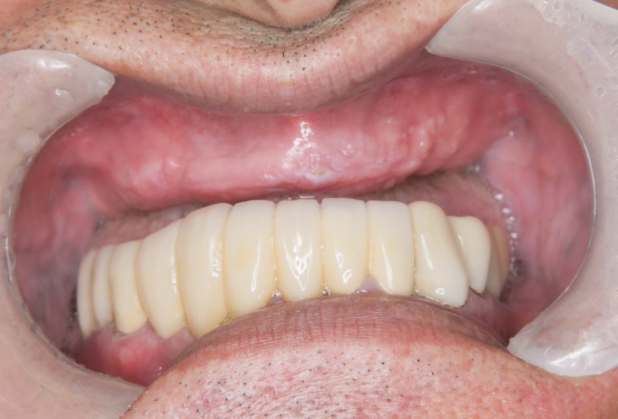
  • 治療前
  • 治療後
  • 過去のトラウマで歯医者が苦手
  • 口の中を人に見られたくない
  • 治療の痛みに耐えられない
  • 勝手に治療を進められそうで不安
このような悩みを抱える方は、ぜひ当院へお越しください。
患者さんの本心に寄り添い、誠実に治療と向き合います。

経験豊富な熟練の歯科医師が対応

当院院長の中谷宇一郎は、口腔外科を専門に学び、これまでにさまざまな難しい症例も治療してきました。インプラント歴は20年以上、インプラントの埋入本数は2000本を超えていて、ボロボロの歯を一気に改善する「オールオン4」の治療にも長けています。

特に、あごの骨が少ない症例に対応する「ザイゴマ」手術も得意としています。ザイゴマは非常に高い技術を要するため、北海道では数名、全国的にも対応できる歯科医師は少ないです。

そのほか、根管治療や重度の歯周病など、歯科治療全般に精通しておりますので、安心してお任せください。

院長 中谷 宇一郎

【経歴】
平成4年 北海道医療大学歯学部 卒業
平成4年 札幌医科大学医学部口腔外科学講座 入局
平成8年~ 口腔がんの遺伝子治療に関する基礎的研究に従事
平成12年 医学博士号取得
平成13年 特定医療法人歯科口腔外科医長
平成15年 「DENTAL OFFICE U」開院
令和2年  移転
【著書】
『学校では教えてくれない歯のき・ほ・ん』
『人生の9割は歯で決まる!札幌・大通公園発 健康も幸せも手に入る!』

歯科医院の「痛い」「怖い」「不信感」のイメージを払拭

歯がボロボロになってしまった患者さんには、それぞれ異なる背景があります。
虫歯歯周病になりやすい体質の方もいますが、多くの場合、過去のトラウマで歯科医院が苦手になることが原因です。

次のような経験はありませんか?
  • 治療時の独特の「痛み」に耐えられない
  • 歯科医師が一方的で、「自分の話」を聞いてもらえなかった
  • 「治療方針」もよくわからないまま、治療を進められた
  • 「無駄な治療」をされた……など
これらの問題は、歯科医院側の心がけ次第で改善が可能です。つまり、歯科医院に通えなかったことについて、患者さんに非はありません
当院では、患者さんが安心して治療を受けられるよう、以下の取り組みを徹底しています。
  • 痛みを軽減する治療方法を導入
  • 説明責任を徹底し、不信感をなくす
  • プライバシーに徹底的に配慮
  • 精密機器を充実させている
以下、詳しくご紹介します。

「痛くない」「怖くない」治療を目指す

歯科治療には、「痛い」「不快」「怖い」といったイメージがつきまといます。当院では、痛みや恐怖心を和らげるためのさまざまな手法を駆使し、患者さんの負担をできる限り軽減しています。

取り組み①表面麻酔

麻酔注射をする前に、針を刺す部位に麻酔液をしみ込ませます。これによって、注射時の痛みを軽減します。

取り組み②極細の針

針が細ければ細いほど、刺した時の痛みを感じにくくなります。当院では、医療機関向けに販売されている中でも最も細い針を採用し、患者さんの痛みを抑えられるように努めています。

取り組み③電動注射器の利用

麻酔液を一度に注入すると、歯肉が膨らみ痛みを引き起こします。これを防ぐためには、一定の速度で適量の麻酔液を注入することが重要です。
人間の手だけではこの微細なコントロールは難しいですが、当院では電動麻酔注射器使用しています。電子制御されたデバイスにより、痛みを抑えることができます。

取り組み④痛みを感じにくい部位に注射

お口の中には、痛みを感じやすい場所と感じにくい場所があります。当院では、まず痛みを感じにくい部位から麻酔を開始します。麻酔が徐々に効いてきたら、次第に痛みを感じやすい部分へと注射を進めていきます。

このような段階的な麻酔方法によって、注射そのものの痛みをほとんど感じることなく治療を始めることができます。

コラム静かで不快感が少ない「5倍速コントラ」

多くの歯科医院では、歯を削る際に「タービン」と呼ばれるドリルを用います。しかし、その「キュイ〜ン」という音や振動が苦手な患者さんも少なくありません。

そこで当院では、「5倍速コントラ」という機器を活用しています。この機器は、タービンと比べて音や振動を大幅に抑え、患者さんの負担を軽減します。これにより、治療中の不快感が和らぎ、リラックスして受けていただけます。

治療中の痛みや恐怖を感じない「静脈内鎮静法」

インプラントやオールオン4の治療では避けることのできない外科処置に対して、とりわけ恐怖心が強い方には「静脈内鎮静法睡眠無痛治療)」をお勧めしています。
点滴で静脈に鎮静薬を注入する治療法で、ほぼ数分で睡眠状態になります。治療中の嫌な記憶はほとんどなく、恐怖や痛みを感じることはありません

患者さんからは「もっと早く知っていたら、歯がボロボロになる前に歯医者に来ていたのに」というお声を聞くこともあります。
ご希望される方は気軽にお申し出ください。

最新の「精密機器」と充実した診療体制

高品質な治療を提供するためには、歯科医師の技術だけでなく、精密機器の力が不可欠です。人間の能力には限界がありますが、精密機器はその限界を乗り越え、病気の早期発見や再発リスクの軽減に大いに貢献します。当院では、これらの利点を最大限に活用しています。

ここでは、当院が導入している精密機器の一部をご紹介します。

CT

CT」は、歯を立体的に撮影するレントゲン装置です。従来のレントゲンでは見えなかった骨の厚さや、骨内の歯の状態、神経や血管の位置などを、詳細に立体映像で確認できます。

マイクロスコープ

マイクロスコープ」は、歯科用の顕微鏡です。患部を約20倍まで拡大し、詳細に観察できます。これにより、肉眼に比べて治療の精度が大幅に向上します。

光学スキャナー

光学スキャナー」は、小型カメラでお口の中を撮影し、その情報から歯の形状の精密な3Dデータを作成する機器です。従来の粘土のような型取り材を使用せずに済み、数分で正確な型取りが完了します。
この技術は、詰め物や被せ物の製作、矯正治療のシミュレーションなど多岐にわたる治療で活用されています

ボロボロの状態を治療した症例

当院ではこれまでに、歯がボロボロになってしまった多くの患者さんの治療をしてきました。ここではその症例の一部をご紹介いたします。

実際にどれくらい歯が改善されるのかを知っていただければ、治療に対して前向きになれるはずです。

症例その1オールオン4

  • Before
  • After
咀嚼、審美障害。歯周病でグラグラな歯を全部抜歯してオールオン4で治療した症例。

症例その2オールオン4 + ザイゴマ

  • Before
  • After
合わない総入れ歯と歯周病がひどい部分を全部除去してオールオン4とザイゴマにて治療した症例。

症例その3オールオン4

  • Before
  • After
咀嚼、審美障害。歯周病でグラグラな歯を全部抜歯してオールオン4で治療した症例。

「説明責任」を果たし「必要な治療だけ」を徹底

治療には、歯を削るや歯ぐきを切開するなど、身体に直接影響を与える処置が含まれます。そのため、歯科医師の判断だけで進めるのではなく、患者さんが納得して選択することが何よりも大切です。

当院では、患者さん自身が治療方針を決定できることを重要視しています。歯科医師として、専門的な立場から最適な治療法をご提案いたしますが、最終的には患者さんの希望を尊重し、選択していただきます

ご提案する治療は一つだけではなく、複数の選択肢を示すこともあります。それぞれのメリットデメリットをご説明し、必ず内容をしっかりご理解いただいたうえでしか進行しません

不明点や不安な点がございましたら、どんな小さなことでも遠慮なくご質問ください。ご納得いただけるまで、丁寧にお答えいたします。

安心!人の目が気にならない「診療室」

当院の診療室や手術室はしっかりと区切られた半個室になっており、周囲を気にせずリラックスした空間で治療を受けられます。プライバシーが配慮された環境になっていますので、どんなことでも気軽にお話しください。

 

歯の健康が心と体に与える影響

歯の問題は、単なる口腔内の悩みに留まらず、心身にも深刻な影響を及ぼすことがあります。特に「ボロボロの歯」でお困りの患者さんは注意が必要です。

歯の状態が悪化すると、噛み合わせが悪くなり、頭痛肩こり腰痛を引き起こすことがあります。また、歯周病は以下のような重大な病気とも関連が指摘されています。
🔴糖尿病
🔴心筋梗塞
🔴脳梗塞
🔴肥満
🔴早産/低体重児出産

さらに、心理的な影響も見逃せません。
歯を気にして人前で話すことが苦手になったり、食事が楽しくなくなったりすることはありませんか? その結果、十分に笑えなかったり、抑うつ状態になる可能性もあります。

だからこそ、行動を起こすことが大切です。「ボロボロの歯」であっても適切な治療によって美しい歯を取り戻せる可能性があります。もし一人で悩んでいるなら、ぜひ当院にご相談ください。

当院では、強制的に治療を勧めることはありません。まずは医院や担当医の雰囲気を感じるために、お気軽に訪れてみてください。

初診「個別」相談へのご案内

当院では、患者さんが抱えていらっしゃるお口のお悩みや疑問・不安などにお応えする機会を設けております。どんなことでも構いませんので、私たちにお話ししていただけたらと思います。
ご興味がある方は下記からお問い合わせください。

ご予約・お問い合わせ011-271-6480

〒060-0061
北海道札幌市中央区南一条西8丁目20−1
ライオンズマンション大通公園小六ビル2F

【札幌市電】西8丁目駅徒歩1分
【地下鉄東西線】西11丁目駅徒歩3分
        大通駅徒歩7分