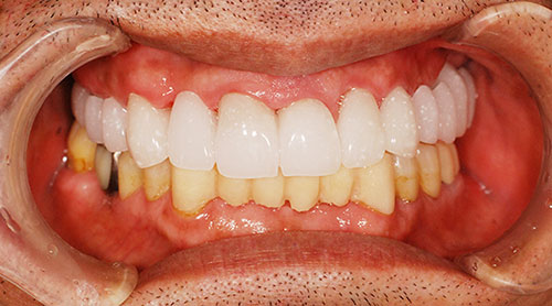
審美セラミック

011-271-6480

24時間WEB予約

キービジュアル

低価格かつ短期間
白い歯実現する
デジタルセラミック治療

  • 「ラミネートべニア」10万円~
  • 「セラミッククラウン」8万円~
  • 「セラミックインレー」5万円~
ハイテクなデジタル技術を活用し、
高精度のセラミック治療をご提供します。

早くて正確で美しい「デジタルセラミック治療」

審美治療は、口元を美しく整えることが目的ですが、歯は単に美しければ良いというものではありません。当院では、セラミック治療によって「美しさ」と「しっかり噛む機能」の両方を追求しています。

また、高性能なデジタル技術を積極的に導入することで、仕上がりのクオリティをより高めつつ、治療期間の短縮を実現しています。なおかつ、価格を抑えられることにもつながっているのです。

詳しい料金についてはこちらをご覧ください。

ここで、当院で活用しているデジタル精密機器についてご紹介します。

1日で被せ物を製作する「1Dayセレック」

当院では、最先端のコンピュータシステムを用いて、歯の詰め物や被せ物を設計し、専用の機械でセラミックのブロックから削り出す「セレックシステム」を導入しています。
通常、歯科医院は外部の歯科技工所に修復物の作製を依頼しますが、当院では歯科技工士の資格を持ったスタッフが常駐しており、最短1日で白い歯を提供できます。

セレックシステムの特長についてご紹介します。

特長①優れた見た目と噛み心地の良さ

多彩なセラミックのブロックを取り揃えております。これにより、周囲の歯と自然になじむ美しい修復物を作製できます。また、耐久性にも優れた高品質な素材を使用しているため、長くご愛用いただけます。

特長②精密な修復を実現するデジタル技術

当院では、最新のデジタル技術を駆使して、高精度な修復物を提供しています。

3D光学スキャナーを使用して正確に型取りを行い、その後、コンピュータで詳細な設計を施します。そして、専用のミリングマシン(削り出し機)を用いてセラミックを削り出すことで、修復物を完成させます。

これにより、従来の手作業と比べて製造時間が大幅に短縮され、さらにその精度も飛躍的に向上しました。患者さんにとって負担の少ない診療を心がけつつ、質の高い結果を追求しています。

歯科用CADを活用した高精度な設計

歯科用CAD」とは、コンピューター上で歯の被せ物や入れ歯などを設計するソフトのこです。患者さんの口腔内を3Dスキャナーで読み取り、そのデータをもとに歯の形・咬み合わせ・位置関係などを調整しながら、立体的なデザインを設計します。

それを元に、セラミッククラウンなどの精巧な実物を作製することができます。従来の手作業よりも精度が高く、また、スピードも速くなります。

当院では、歯科用CADの中でも世界的に高い評価を得ている「exocad」を使用しています。

マイクロスコープ/高倍率ルーペによる精密治療

被せ物の治療では、歯と補綴物の間にわずかな隙間が生じることがあります。この小さなズレが原因で、虫歯の再発被せ物の脱落になることもあるため、非常に精密な適合が求められます。

当院では、これを防ぐためにマイクロスコープ高倍率ルーペを使用し、治療部位を拡大して確認しています。視野が肉眼の数倍から十数倍にまで拡大されることで、歯と被せ物の境目や形状の微細な凹凸まで正確に視認できます。

こうした高精度な視認によって、削る量や調整箇所をきめ細かく見極め、天然歯にぴったりと適合する被せ物を装着することが可能です。

体に優しく、審美性も高い歯科素材

歯の治療では詰め物や被せ物など、人工歯をお口に装着します。しかし、一部の素材は「金属アレルギー」といった問題を引き起こす場合があります。

当院では、こうしたリスクを軽減するために体に優しいと同時に審美性にも優れた歯科素材を採用しています。ここでは、当院で使用しているセラミック素材の一部をご紹介します。

ジルコニア

ジルコニアは、見た目の美しさと優れた強度から「人工ダイヤモンド」と称されるセラミック素材です。この素材は完全に陶器で構成されており、身体に優しい特徴を持っています。また、保険治療で使用される銀歯とは異なり、金属イオンが溶け出す心配もありません

ジルコニアは非常に高い耐久性を誇ります。特に力強く食いしばることの多い患者さんにはおすすめの素材です。このように、ジルコニアは審美性と機能性を兼ね備えた選択肢となっています。

オールセラミック

オールセラミックは、その美しい色合いと強度で、自然な歯に非常に近い見た目を実現できるセラミック素材です。体にも優しく、見た目の自然さだけでなく、長期間使用することが可能です。

ただし、ジルコニアセラミックと比べると、耐久性には多少劣る部分があります。そのため、噛み合わせの負荷が比較的弱い前歯の補綴(ほてつ)に適しています。自然な見た目を重視する方におすすめの選択肢です。

歯の表面に貼り付ける「ラミネートベニア」

ラミネートベニア」は、歯の表面を0.3~0.7mmほど薄く削り、その部分にセラミック製の板(シェル)を専用の接着剤で貼り付ける歯科審美治療です。

歯の表面しか削らないため、全体を削るクラウン(被せ物)に比べて健康な歯への負担が少なくて済みます。また、数回の通院で歯の色だけでなく、歯の形や多少の歯並びまで改善することが可能です。

注目短期間で完了する白い詰め物「ダイレクトボンディング」

ダイレクトボンディングは、歯の詰め物として「コンポジットレジン」という樹脂とセラミックを組み合わせた材料を使用する治療法です。この材料は速やかに硬化し、治療を短時間で終わらせることが可能です。また、自然な歯の色に近い仕上がりになるのも特徴です。

以下のような方には、特におすすめです。
✅ 欠けた歯を低価格で手軽に修復したい方
✅ 小さな虫歯を早く治療したい方
✅ 気になる銀歯を白い詰め物に交換したい方

ダイレクトボンディングの大きな利点は、一度の来院で治療が完了する可能性が高いことです。ただし、大きな被せ物が必要な症例には適用できない場合もありますので、詳しいことは当院までお問い合わせください。

理想の美しさのイメージを共有

患者さんが思い描く理想の美しさを実現するには、治療の各段階でイメージをしっかりとすり合わせることが重要です。

治療開始前のカウンセリング

治療前のカウンセリングでは、患者さんの理想とする歯のイメージについて詳しくお伺いします。歯の色のサンプルや模型を使用して具体的なイメージを共有し、治療の方向性を確実に定めます。

模型を作製してイメージを共有する

患者さんの歯形を取り、歯型模型を作製します。この模型を用いることで、歯の形や配置を具体的に確認できます。
次に、仮歯を作成し、お口に合わせて微調整を行います。このプロセスにより、最終的な仕上がりを事前に確認することが可能です。

神経を守る審美治療

審美セラミック治療では、セラミックの被せ物を装着するために歯を削ることが必要です。通常、この過程で歯を大きく削らなければならないため、多くの場合「抜髄」と呼ばれる歯の神経を取る処置が行われます。
しかし、歯の健康を考慮すると、安易に神経を取ることは避けた方が良いでしょう。神経を失った歯は栄養を取り込めず、結果として弱くなってしまいます。

当院では、審美セラミック治療においても、できる限り歯の神経を残す治療を心がけています。これにより、長期的に健康で強い歯を維持することを目指しています。
※症例によっては、神経を残すことが難しい場合もあります。

セラミック治療で噛み合わせの調整

セラミック治療においては、見た目の美しさだけでなく適切な噛み合わせも非常に重要です。噛み合わせが問題になると、顎関節症などのトラブルを引き起こす可能性があります。当院では、仮歯を用いて噛み合わせのチェックを行い、問題がないか確認します。

まず、模型から「プロビジョナル・レストレーション(仮歯)」を製作し、それを実際に装着します。この際、以下の点について慎重に確認いたします。
  • 噛み合わせに違和感がないか
  • きちんと噛めるのか
  • 耐久性が十分あるか
特に噛み合わせに関しては、細心の注意を払ってチェックを行います。
必要であれば、何度でも調整を行い、患者さんに納得いただける状態を目指します。そして、仮歯が適切であることを確認できたら、その仮歯をもとに最終的な被せ物を作成します。

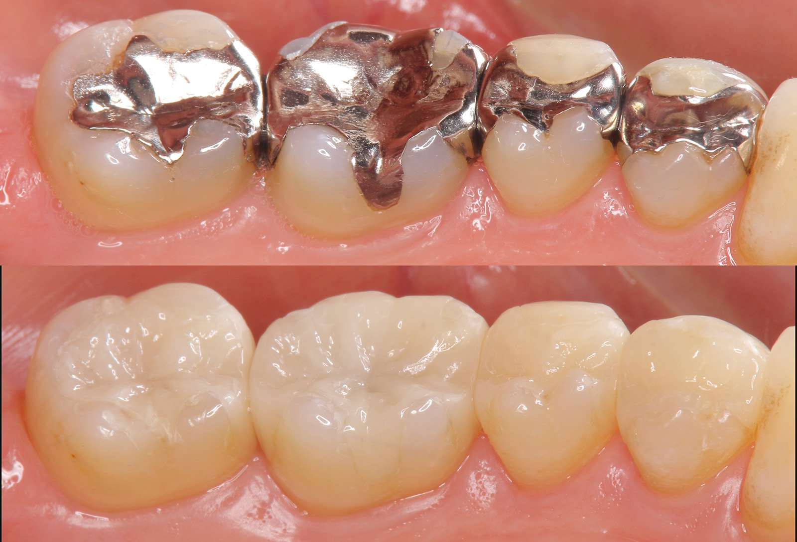
コラム金属アレルギー/アマルガムへの対応

金属アレルギーは、アクセサリーなどの貴金属から発症するイメージが強いかもしれません。しかし、歯科治療における「銀歯」などの材料が原因でアレルギー反応を引き起こすこともあります。
🔴口内炎がなかなか治らない
🔴アトピー性皮膚炎が悪化した
🔴原因不明の皮膚トラブルが続いている

これらの症状は、金属アレルギーが関係している可能性があります。思い当たる症状がある方は、一度ご相談ください。
当院では、金属アレルギーを引き起こさない素材を使用して、治療を行うことができます。

アマルガムの除去も行います

日本では1990年頃まで、虫歯治療にアマルガムという金属が詰め物として広く使用されていました。このアマルガムには水銀が含まれており、身体に悪影響を与えるリスクが指摘されています。

水俣病の原因となる有機水銀ほどの強い毒性はありませんが、頭痛やめまい、慢性的な疲労感など、さまざまな症状を引き起こす可能性があります。もしも原因不明の体調不良でお悩みの方は、一度アマルガムの影響を調べてみた方がよいかもしれません。

心当たりがある方は、ぜひお気軽に当院へご相談ください。信頼できる診断と適切な対応を心掛けています。

注目ガミースマイルの治療も可能

笑顔になったときに歯ぐきが目立つ「ガミースマイル」。その見た目を気にされる患者さんは少なくありません。
ガミースマイルの原因としては、歯の形状や位置、歯ぐきの厚み、唇の動きなどが考えられます。当院では、このような症状に対して以下の治療法で改善をサポートしています。
🔷セラミックの被せ物で前歯の形を整える
🔷外科的処置で歯ぐきのラインを整える
🔷矯正治療で歯並びや歯の位置を改善する
🔷ボトックス注射で唇の過度な動きを抑える

ガミースマイルが気になる方は、お気軽にご相談ください。

初診「個別」相談へのご案内

当院では、患者さんが抱えていらっしゃるお口のお悩みや疑問・不安などにお応えする機会を設けております。どんなことでも構いませんので、私たちにお話ししていただけたらと思います。
ご興味がある方は下記からお問い合わせください。

ご予約・お問い合わせ011-271-6480

〒060-0061
北海道札幌市中央区南一条西8丁目20−1
ライオンズマンション大通公園小六ビル2F

【札幌市電】西8丁目駅徒歩1分
【地下鉄東西線】西11丁目駅徒歩3分
        大通駅徒歩7分