All-on-4

011-271-6480

24時間WEB予約

キービジュアル

他院では難しい
ザイゴマインプラント」も
当院なら対応可能です。

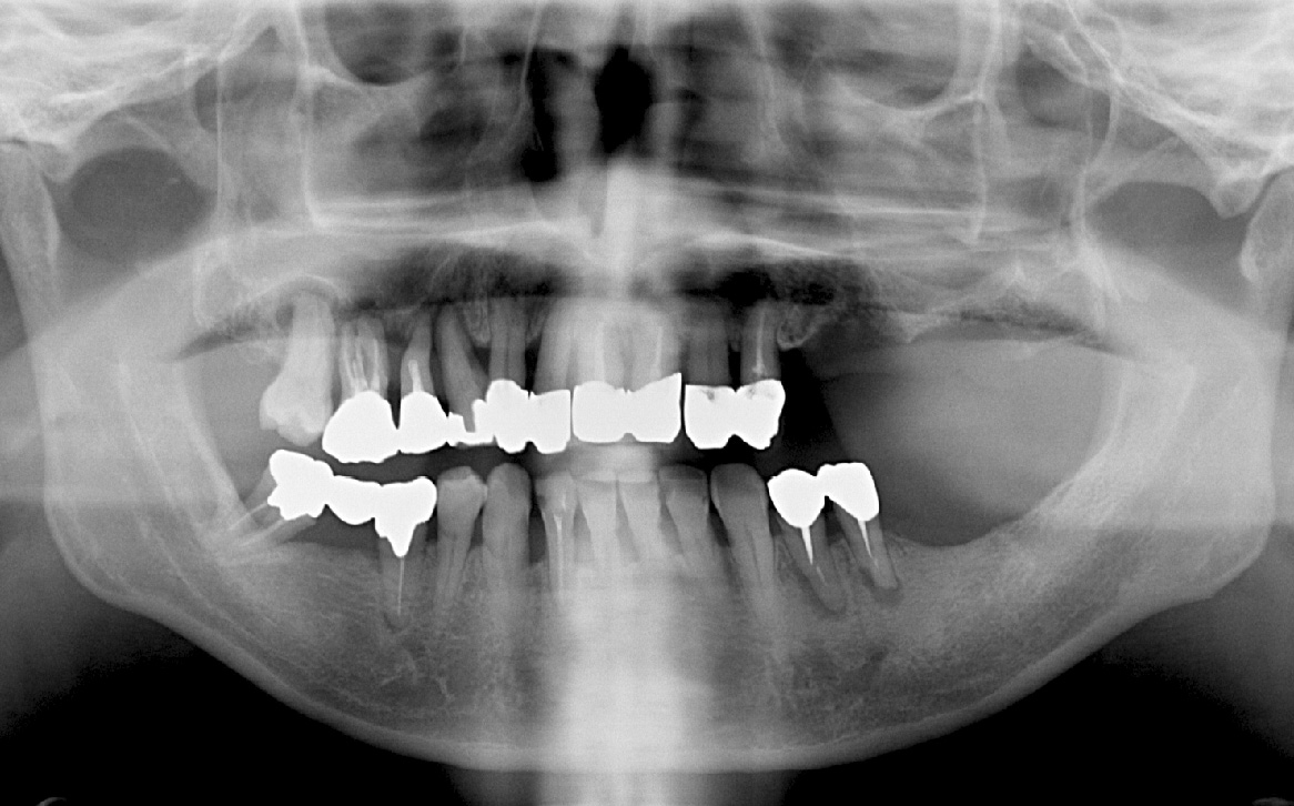
  • 治療前
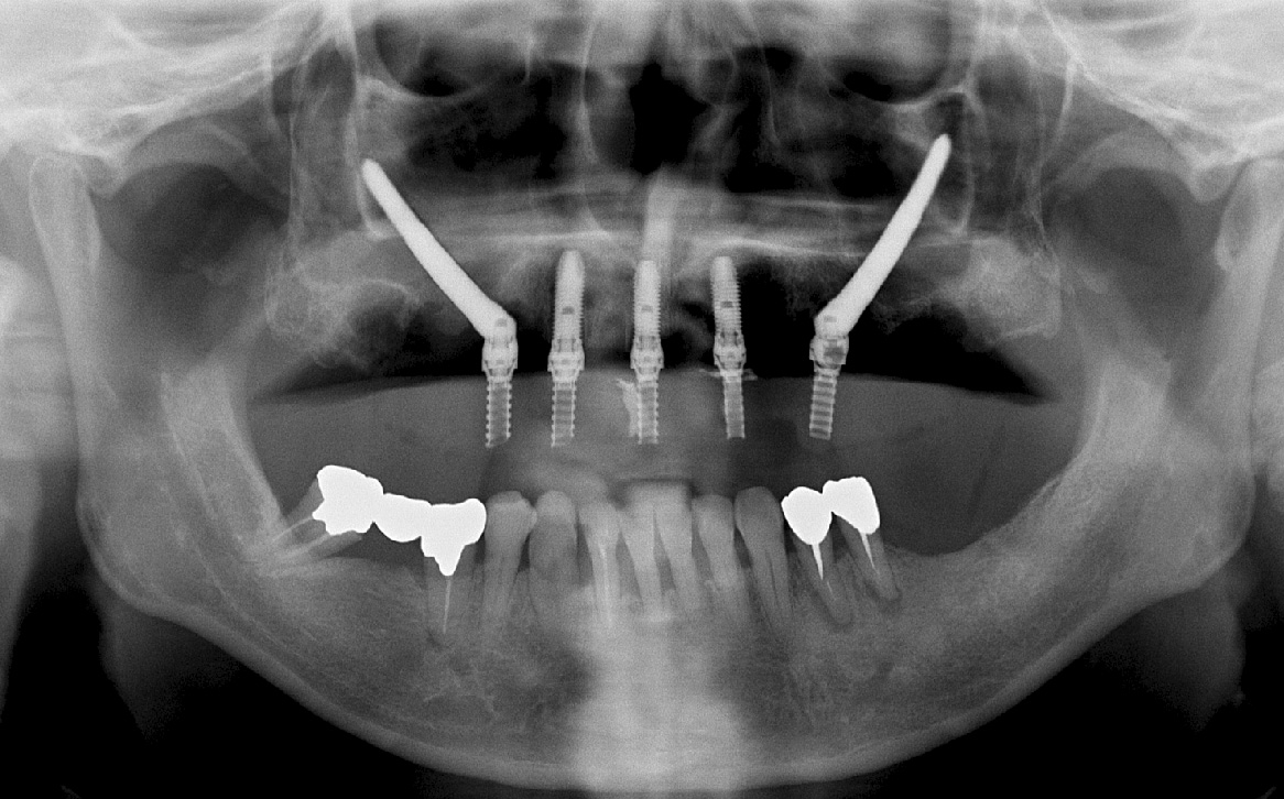
  • 治療後
「オールオン4」は4本のインプラントのみで
多くの歯を失ったお悩みを解決します。
  • ボロボロの歯が一気に改善
  • あごの骨が少なくても可能
  • 手術当日に歯が入る
  • 総入れ歯の不満を解消
また、インプラントやオールオン4が断られても
当院ならザイゴマインプラント
治せるかもしれません!

「ザイゴマインプラント」のスペシャリストが在籍

当院院長・中谷宇一郎は、口腔外科を専門に学び、数多くの臨床と研究に携わってきました。インプラント治療歴は20年以上、埋入本数は2,000本を超えています。


特に、あごの骨が少ない方に行う「ザイゴマ」手術を得意としています。その知識と技術の向上を目指し、ヨーロッパやブラジルまで足を運んで研鑽を積んできました。ザイゴマは高度な技術と精密な診断力を要する手術であり、北海道で対応できる歯科医師は数名に限られ、全国的にも少数しかおりません
他院では「インプラントもオールオン4も難しい」と断られた方でも、当院であれば治療可能な場合があります。最後まであきらめず、当院にご相談にいらしてください。

院長 中谷 宇一郎

【経歴】
平成4年 北海道医療大学歯学部 卒業
平成4年 札幌医科大学医学部口腔外科学講座 入局
平成8年~ 口腔がんの遺伝子治療に関する基礎的研究に従事
平成12年 医学博士号取得
平成13年 特定医療法人歯科口腔外科医長
平成15年 「DENTAL OFFICE U」開院
令和2年  移転
【著書】
『学校では教えてくれない歯のき・ほ・ん』
『人生の9割は歯で決まる!札幌・大通公園発 健康も幸せも手に入る!』

「歯を失った」「総入れ歯が合わない」方へ

虫歯歯周病により多数の歯を失った患者さんから、さまざまな深刻なお悩みをお聞きします。
✔ もう何年も美味しい食事をしていない。
✔ 口の中を見られたくなくて、笑えなくなった。
✔ 会話もままならず、無口になった。

総入れ歯にしたとしても、また別のお悩みが出てくることがあります。
✔ 食事をすると痛む。
✔ すぐに外れてしまい、会話どころではない。
✔ 強烈な異物感があり、気分が悪くなってしまう。
インプラントによってこれらの問題は解決できると言われています。
しかしながら、すべての歯をインプラントにする際には、治療費が膨大になるだけでなく、手術回数も増え、その結果患者さんへの身体的負担も大きくなります。

そこで、多くの歯を失った方々におすすめしている治療法が、「オールオン4All-on-4)」や「ザイゴマ」です。

「ザイゴマインプラント」とは

「ザイゴマインプラント」は、少ない本数のインプラントで多くの歯を支える治療法で、「オールオン4」と考え方は同じです。しかし、大きな違いは「インプラントを固定する場所」にあります。

一般的に、上あごのインプラント治療は下あごよりも難易度が高いです。特に長期間、虫歯や歯周病を放置していると、上あごの骨が減少し、通常のインプラントを埋め込むことが困難になる場合があります。

そんな状況でも効果的なのが、「ザイゴマインプラント」です。
この方法では、上あごではなく、より硬くしっかりした頬骨(ほおぼね)にインプラントを固定します。これにより、上あごの骨が少ない方でもインプラント治療が実現可能になります。

「もうインプラントは無理だ」とあきらめかけていた方でも、この治療によってしっかり噛める口腔環境を取り戻せる可能性があります。治療の選択肢として、ぜひご相談ください。

「オールオン4」とは

オールオン4は、片あごに最低4本のインプラントを埋め込んで、全ての歯(12本)を支える治療法です。1歩1本インプラントを埋めるよりも本数が少ない分だけ、費用を抑えることができます。また、基本的に手術は1回で済むので、身体的負担が軽減されます。
必要に応じて6本のインプラントを使用することもあります。

一般的なインプラント治療との違いは次のとおりです。

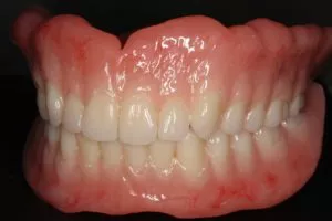
症例写真の紹介

ここで、当院がこれまでに治療してきたオールオン4やザイゴマの症例写真をご覧ください。お口の状況がどれほど改善されるかがイメージしやすくなるかと思います。

症例①オールオン4 + ザイゴマ

  • Before
  • After
歯周病でグラグラな歯と合わなくなった被せなど全部抜歯してオールオン4とザイゴマにて治療。

症例②オールオン4

  • Before
  • After
咀嚼、審美障害。歯周病でグラグラな歯を全部抜歯してオールオン4で治療した症例。

症例③オールオン4 + ザイゴマ

  • Before
  • After
合わない総入れ歯と歯周病がひどい部分を全部除去してオールオン4とザイゴマにて治療した症例。

症例④オールオン4

  • Before
  • After
咀嚼、審美障害。歯周病でグラグラな歯を全部抜歯してオールオン4で治療した症例。

症例⑤オールオン4 + ザイゴマ

  • Before
  • After
咀嚼、審美障害。歯周病でグラグラな歯を全部抜歯してオールオン4とザイゴマで治療した症例。

症例⑥オールオン4

  • Before
  • After
疼痛、審美障害。全体的に虫歯でボロボロな歯を全部抜歯してオールオン4で治療した症例。

「オールオン4」「ザイゴマ」がおすすめの方

All-on-4は、以下のような患者さんに向いています。

🔴合わない総入れ歯にお困りの方
🔴虫歯や歯周病で、多くの歯を失った方
🔴経済的な負担を抑えたい方
🔴骨が少なく、インプラント治療が難しい方

合わない総入れ歯にお困りの方

保険診療で作製した総入れ歯を使用している多くの患者さんが、口の中に異物感や痛みを感じたり、すぐに外れてしまうという問題を抱えています。
そんなお悩みを解決するために、オールオン4やザイゴマなどのインプラント治療をご提案しています。

これらの治療法では、インプラントによって歯をしっかりと固定します。そのため、食事の際にしっかり噛むことができ、会話の途中で歯が外れる心配もありません。快適な日常生活をサポートしますので、お困りの方はぜひ当院にご相談ください。

虫歯や歯周病で、多くの歯を失った方

「オールオン4」や「ザイゴマ」といった治療法では、一度の手術で、その日のうちに片あごに12本の歯を入れることができます
ほとんどの歯を失った患者さんでも、自分の歯で噛む喜びを再び感じることが可能になります。

経済的な負担を抑えたい方

すべての歯を失った場合、一般的なインプラント治療では片あごに8〜14本のインプラントが必要です。そのため、治療費は高くなりがちで、手術回数も多く、身体への負担も避けられません。

オールオン4やザイゴマという方法では、片あごに最低4本、上下合わせて最低8本のインプラントで治療できます。これにより、経済的な負担を軽減することが可能です。

骨が少なく、インプラント治療が難しい方

通常のインプラント治療は、あごの骨の量が少ない場合には難しくなることがあります。
しかし、オールオン4やザイゴマという方法では、骨の厚みがある部分を選んでインプラントを埋め込むため、骨の量が少なくても治療できる可能性が高いです。

※骨の状態によっては、骨を増やす「骨造成」が必要になることもあります。

コラム眠っている間に手術が終わる「睡眠無痛治療」

オールオン4やザイゴマの手術を行う際に、当院では局所麻酔を使用しています。局所麻酔は手術時の痛みを効果的に抑えることができます。
しかし、「手術」という言葉に苦手意識を持つ方や、歯医者自体に不安を抱く「歯科恐怖症」の患者さんにとって、外科手術は大きなストレスとなることがあります。

そこで、当院では「睡眠無痛治療静脈内鎮静法)」を提供しています。この方法では、点滴によって鎮静剤を投与し、患者さんはほぼ眠ったような状態で手術を受けられます。これにより、手術中の痛みや恐怖を感じることがなく、記憶も残ってないことが多いです。実際に睡眠無痛治療を受けた患者さんからも、「気がついたら手術が終わっていた」とのお声をいただいています。

この治療をご希望の方は、お気軽にご相談ください。

口元を美しくする「リップサポート」の効果

当院では、噛むことの快適さに加えて、見た目の美しさも追求した審美インプラント治療を行っています。私たちは、口を開けたときだけでなく、閉じたときの口元の美しさも重要視しています。

前歯の噛み合わせは唇の位置を左右し、お顔の印象に大きく影響します。上あごの前歯が唇を支えることを「リップサポート」と呼びます。このリップサポートが不十分だと、口元が引っ込み、年齢を感じさせる外見になることがあります。

当院では、「オールオン4」や「ザイゴマ」などのインプラント治療を通じて、適切なリップサポートを提供し、噛み合わせを調整しています。これにより、まるで20〜30歳若返ったかのような変化を実感できることがあります

初診「個別」相談へのご案内

当院では、患者さんが抱えていらっしゃるお口のお悩みや疑問・不安などにお応えする機会を設けております。どんなことでも構いませんので、私たちにお話ししていただけたらと思います。
ご興味がある方は下記からお問い合わせください。

ご予約・お問い合わせ011-271-6480

〒060-0061
北海道札幌市中央区南一条西8丁目20−1
ライオンズマンション大通公園小六ビル2F

【札幌市電】西8丁目駅徒歩1分
【地下鉄東西線】西11丁目駅徒歩3分
        大通駅徒歩7分